Konstelace (post)senzorické kůry (krátk. ztráta paměti, ADD, ADHD, Alzehimer)
Biologický konflikt: Konflikt odloučení, prožívaný jako ztráta (fyzického) kontaktu; také touha se od někoho oddělit.

Úroveň mozku a orgánů: Konflikty odloučení odpovídají pokožce (epidermis), výstelce mlékovodů a periostu (okostici). Pokožka levé strany těla a mlékovody v levém prsu jsou řízeny z pravé strany senzorické kůry; pokožka pravé strany těla a mlékovody v pravém prsu jsou řízeny z levé strany senzorické kůry (viz diagram GNM).
Stejně tak je periost (okostice) levé strany těla řízen z pravé strany postsenzorické kůry; periost pravé strany těla je řízen z levé strany postsenzorické kůry. POZNÁMKA: Na které straně (post)senzorické kůry se konflikty evidují je dáno biologickou lateralitou a tím, zda se konflikty týkají matky/dítěte nebo partnera.
Konstelace vznikne v okamžiku, kdy druhý konflikt zasáhne opačnou mozkovou hemisféru. Konflikty se také mohou vyskytnout současně. U lokalizovaných Konfliktů odloučení, postihujících obě strany těla, se člověk okamžitě ocitne v konstelaci. Konstelace může být trvalá nebo se může opakovat v důsledku kolejí nebo relapsů konfliktu.
Konstelace (post)senzorické kůry se projevuje jako krátkodobá ztráta paměti. Účelem krátkodobé ztráty paměti je zablokovat paměť, aby se jedinec lépe vyrovnal s odloučením. Z biologického hlediska je odloučení od smečky jedním z nejtraumatičtějších biologických konfliktů. Odloučení od skupiny znamená v přírodě obvykle smrt. My lidé sdílíme tento negativní stres se všemi druhy. POZNÁMKA: Ke krátkodobé ztrátě paměti dochází již při jednom SBS (speciální biologický program); u konstelace je příznak zřetelnější.
Stupeň krátkodobé ztráty paměti je úměrný intenzitě konfliktů.

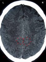
Tento sken mozku ukazuje Konstelaci postsenzorické kůry (viz diagram GNM) s Hamerovým ložiskem v relé periostu obou mozkových hemisfér. Dopad konfliktů narušuje synapse, které přenášejí elektrické signály (informace) z jednoho neuronu do druhého, což způsobuje zhoršení paměti.
POZNÁMKA: Ztráta krátkodobé paměti zasahuje i do léčebné fáze PCL-A, protože otok (edém) v mozkových relé, souvisejících s konfliktem, nadále zpožďuje přenos nervových impulsů mezi mozkovými buňkami. Po epileptoidní krizi se stav vrací do normálu.
Když mají děti špatnou krátkodobou paměť, považuje se to dnes za jeden z příznaků ADD (porucha pozornosti bez hyperaktivity) nebo ADHD (porucha pozornosti s hyperaktivitou), pokud je dítě zároveň hyperaktivní. Z pohledu GNM souběh problémů s pamětí a hyperaktivitou naznačuje dvě shodně probíhající konstelace: jedna souvisí s Konflikty odloučení, druhá s Konflikty pocitu uvíznutí (viz Konstelace motorické kůry). Potíže s učením často začínají po odloučení od jednoho nebo obou rodičů, po odstěhování nebo změně školy, která zahrnuje odloučení od spolužáků a přátel, po narození nového sourozence, kterému je věnována větší pozornost, po návratu matky do práce nebo když se rodiče neustále hádají nebo jsou příliš zaneprázdnění a netráví čas s dítětem. POZNÁMKA: V konvenční medicíně může být diagnóza "ADD" stanovena také tehdy, když má dítě depresi (viz primární deprese) a špatnou koncentraci, nebo je maniodepresivní s dominancí depresivní nálady; stejně tak může být diagnóza "HD" (porucha hyperaktivity) stanovena tehdy, když je dítě manické (viz primární mánie), tzn. je nepozorné a snadno se rozptýlí.
Základní příčinou dyslexie jsou Konflikty odloučení, prožívané v kojeneckém věku nebo v raném dětství.
Když začnou být postarší lidé zapomnětliví, obvykle se to považuje za první příznak Alzheimerovy choroby nebo demence. Podle směrnic, které vydala v roce 2019 Světová zdravotnická organizace, "pravidelné cvičení, nekouření, vyhýbání se škodlivé konzumaci alkoholu, kontrola hmotnosti, zdravá strava a udržování zdravého krevního tlaku, cholesterolu a hladiny cukru v krvi" podle všeho pomáhají snižovat riziko vzniku demence. Toto tvrzení je však čistě hypotetické!
Neurologové tvrdí, že Alzheimerova choroba je s věkem související "neurodegenerativní onemocnění", které ovlivňuje funkce mozkových buněk, zatímco vědci, zkoumající mozek, tvrdí, že porucha paměti je způsobena atrofií mozku nebo zvětšenými mozkovými komorami. Podle zjištění Dr. Hamera je atrofie mozku výsledkem opakujících se procesů zjizvení v mozku v důsledku neustálých recidiv konfliktu jakéhokoli biologického konfliktu. Zvětšené mozkové komory souvisejí s choroidním plexem a utrpením, spojeným se špatným pamatováním ("myšlenky neproudí hladce"). Takže to, co způsobuje demenci, není velikost mozkových komor, jak se předpokládá, ale naopak, konkrétně jde o to, že krátkodobá ztráta paměti aktivuje SBS (speciální biologický program), který zvyšuje produkci mozkomíšního moku (v konfliktně-aktivní fázi), což nakonec vede ke zvětšení mozkových komor (viz vnitřní hydrocefalus).

Konvenční medicína předpokládá, že demence nějakým způsobem souvisí s "plaky" v mozku ("vědci přesně nevědí, jakou roli hrají plaky u Alzheimerovy choroby", Alzheimer's Association, www.alz.org). Ve skutečnosti jsou tyto "plaky" vápenaté usazeniny, které se časem tvoří v důsledku neustálých relapsů konfliktů, které přerušují léčebný proces; zde je to znázorněno na obou hemisférách (post)senzorické kůry, oblasti mozku, která biologicky odpovídá Konfliktům odloučení. Typickými Konflikty odloučení jsou smrt celoživotního partnera, ztráta partnera nebo přítele, malý nebo žádný kontakt s nejbližší rodinou (děti, vnoučata) nebo nutnost přestěhovat se do domova důchodců.
Souběžná Konstelace sběrných kanálků ledvin, kdy se Konflikty opuštění/existenční/uprchlíka a Konflikty odloučení vyskytují společně, přidává ke ztrátě paměti ještě zmatek a dezorientaci. Výsledkem je typický klinický obraz Alzheimerovy choroby. Změny chování, jako je útočnost, agresivita, sociální izolace nebo depresivní nálady, naznačují více konfliktů a další konstelace.
V roce 1986 zahájil David Snowdon, epidemiolog z univerzity v Kentucky, výzkumný projekt, který se stal známý jako Studie jeptišek (publikovaný v roce 2001). Cílem výzkumu bylo určit příčiny Alzheimerovy choroby, se zaměřením na skupinu 678 katolických sester, které byly členkami kongregace Školských sester Notre Dame v Mankatu v Minnesotě (USA). Účastnice byly ve věku 75 až 107 let. Kvůli stejnorodému životnímu stylu a prostředí byly jeptišky ideální populací pro studium. Kromě posouzení lékařských záznamů a pravidelného testování fyzické a kognitivní výkonnosti účastnice souhlasily s tím, že po smrti darují svůj mozek pro výzkumné účely. Výsledek byl pozoruhodný! Pitva mozku jeptišek odhalila, že značný počet z nich vykazoval v mozku patologie Alzheimerovy choroby, přestože sestry během života nikdy nevykazovaly známky ztráty paměti. Výzkumníci v oblasti plasticity mozku naznačili, že duševní aktivita jeptišek podporovala rozvoj nových neuronových sítí, které nakonec převzaly práci degenerovaných mozkových buněk. Věda GNM k tomu přistupuje odlišně. Na základě zjištění, že každá nemoc je způsobena biologickým konfliktem (první biologický zákon), úbytek paměti, jak je pozorován u pacientů s Alzheimerovou chorobou, nemá původ v mozku, ale v psychice, konkrétně jde o trvalé Konflikty odloučení, které časem vedou k demenci.
Proto "plaky", které se nacházejí v mozku, nejsou příčinou ztráty paměti, ale výsledkem neustálých opravných procesů v mozkových relé, souvisejících s konflikty. Pokud se dané osobě podaří vyřešit Konflikty odloučení, funkce paměti se vrátí k normálu, plaky však zůstávají. To vysvětluje, proč existují lidé, jako některé sestry z Notre Dame, kteří měli v mozku "patologie" Alzheimerovy choroby, zatímco jejich paměť byla plně zachována. Studie o jeptiškách také potvrzuje zjištění GNM, že problémy s pamětí vůbec nesouvisí se stárnutím.
Sestry z Notre Dame žijí v privilegovaných podmínkách. Žijí v podporované komunitě, kde sdílejí své aktivity a zapojují se do rozhovorů. Klášterní komunita poskytuje ideální prostředí pro zvládání Konfliktů odloučení, jako je ztráta sestry nebo úmrtí člena rodiny. Když dosáhnou vysokého věku, jsou ušetřeny stěhování do domova pro seniory. Připomíná to generace, kdy starší lidé žili se svými rodinami a bylo o ně pečováno až do smrti. (Dokument o sestrách zde - krátké video.)
Překlad: Jana Schön