Konstelace sběrných kanálků ledvin (dezorientace, Alzheim. choroba, křečkování, zmatek, vychýlení očí)
Konstelace sběrných kanálků ledvin (SKL) je specifický typ Konstelace mozkového kmene.
Biologické konflikty: Konflikt opuštění, Konflikt existenční, Konflikt uprchlíka – pocit jako "ryba na suchu"

Úroveň mozku a orgánů: Konflikt opuštění, Konflikt existenční nebo Konflikt uprchlíka odpovídá sběrným kanálkům ledvin. Sběrné kanálky ledvin pravé ledviny jsou řízeny z pravé strany mozkového kmene; sběrné kanálky ledvin levé ledviny jsou řízeny z levé strany mozkového kmene. Neexistuje žádná zkřížená korelace z mozku do orgánu.
První konflikt náhodně zasáhne pravou nebo levou hemisféru mozkového kmene. Konstelace SKL je vytvořena v okamžiku, kdy jsou zasažena obě relé sběrných kanálků ledvin. Konstelace může být trvalá či se může opakovat kvůli kolejím nebo recidivám konfliktu.
Mentálně se konstelace SKL projevuje jako dezorientace. Lidé v této konstelaci mají špatný orientační smysl a snadno se ztratí na neznámých místech. Jsou zmateni různými směry a mají tendenci zaměňovat pravou a levou stranu. Těžko se orientují ve velkých budovách, jako jsou hotely, kancelářské budovy nebo letiště. Velká nákupní centra jsou pro ně jako bludiště, kde chodí v kruhu, dokud – konečně – nenajdou cestu ven (což obvykle není místo, odkud přišli). Řídit auto v nové oblasti je pro ně velmi stresující. Uzavřené silnice, objížďky nebo nesprávný výjezd z dálnice jim přivodí stav paniky. Rozhodně neradi cestují sami a nemají chuť objevovat nové destinace (srovnej s Konstelací létající). Když musí letět letadlem, jsou na letišti dlouho před odletem. Obvykle jdou přímo k odletům a sedí blízko u přepážky, drží palubní lístek a pas; jsou také první, kdo nastupují do letadla.
POZNÁMKA: Dezorientace se rozvíjí pouze v rámci Konstelace SKL, nikoli s Konstelací mozkového kmene zahrnující pouze jedno ze dvou relé sběrných kanálků ledvin.
Je známým fenoménem, že lidé, kteří se ztratí v poušti, se pohybují ve smyčce a přitom věří, že jdou po přímé linii. Vědci z Institutu Maxe Plancka pro biologickou kybernetiku v Německu uvádějí, že důvodem, proč někdo chodí v kruhu ("Proč lidé chodí v kruhu?", Live Science, 5. srpna 2011), je nedostatek vnějších referenčních bodů. Závěry, k nimž došel Dr. Hamer, ukazují, že nedostatek vnitřních nebo emocionálních referenčních bodů, prožívaných jako Konflikt opuštění, Konflikt existenční nebo Konflikt uprchlíka, generuje stejné chování. Podobně se chovají i zvířata. Například mládě jelena, které se ztratilo, neopustí tuto oblast, protože pokud by běželo dál, matka by ho nenašla.
Stupeň dezorientace je úměrný intenzitě konfliktů. Při silné konstelaci může dezorientace dosáhnout takového stupně, že člověk už ani nepoznává své okolí. U starších osob je Konstelace SKL často způsobena hospitalizací (první Konflikt uprchlíka) a poté přemístěním do pečovatelského domu (druhý Konflikt uprchlíka), kde se cítí jako "ryba na suchu", daleko od domova a rodiny (viz také demence, spojená s Konfliktem odloučení).

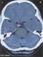
Tento sken mozku ukazuje Konstelaci SKL (viz diagram GNM), způsobenou dvěma Konflikty uprchlíka.
Příběh: "Když bylo ženě v této případové studii pět let, slýchávala: 'Když nebudeš hodná, půjdeš k tetě Kláře.' Vskutku, teta se těšila na to, že dívku adoptuje, což nebylo v té době nic mimořádného. Teta Klára zajisté nebyla žádné monstrum, byla milá... ale představa odloučení od rodičů, sourozenců, kamarádů, domu rodičů a sousedů byla velmi děsivá. Dívka trpěla Konfliktem uprchlíka, vyvolaným strachem z toho, že se bude muset odstěhovat. Nevíme přesně, kdy a při jaké příležitosti došlo k druhému konfliktu, ale s největší pravděpodobností to bylo během návštěvy tety Kláry. Dívka se nemohla dočkat, až se vrátí domů, a měla strach, že zůstane u tety. Protože stále znovu a znovu slyšela: 'Pokud nebudeš hodná, půjdeš k tetě Kláře', žila v neustálém strachu z deportace k tetě. Od té doby měla dvě konfliktní koleje; jedna byla o tom nebýt hodná, a druhá se týkala v prvé řadě cestování. To zůstalo až do doby, kdy byly pořízeny současné záznamy (1994). Přestože je nyní pacientce 50 let, je matkou dospělé dcery a manželkou lékaře, stále se snaží být hodná a pokud možno nikdy necestuje. Další konfliktní kolejí je její matka, která vždy říkávala onu konkrétní větu s tak těžkými následky. Pacientce stačí, když dostane dopis od matky nebo když s ní mluví po telefonu, a okamžitě se u ní opakuje Konflikt uprchlíka! Kdyby teď měla cestovat, měla by dva Konflikty uprchlíka, postihující sběrné kanálky obou ledvin.
Jednou však došlo k tomu, že byly aktivovány obě konfliktní koleje zároveň. Po hádce s matkou ji přemluvil manžel, aby s ním odjela na krátkou dovolenou do Bavorska. Sotva ujeli pár set kilometrů, manžel si s údivem uvědomil, že jeho žena je zcela dezorientovaná. Pomyslel si, že se to snad zlepší v cíli cesty; ale tam to bylo ještě horší. Žena se ho neustále ptala, kde je, nemohla najít hotelový pokoj a chodila po hotelu zcela dezorientovaná. Jelikož však manžel (lékař) znal GNM, okamžitě pochopil, že jeho žena je v Konstelaci SKL. Jak nám později řekl na semináři, zeptal se sám sebe: 'Co by teď doktor Hamer udělal nebo poradil?' Odpověď: Řekl by: 'Okamžitě jeď s manželkou domů!' A to také udělali. Vzal dezorientovanou manželku za ruku, posadil ji do auta, znovu sbalil zavazadla, a co nejrychleji odjeli domů, kam dorazili pozdě odpoledne. Avšak jeho žena nepoznávala vlastní dům a zeptala se manžela, kde jsou. Znovu se manžel zeptal sám sebe: 'Co by teď doktor Hamer udělal nebo poradil?' Odpověď: 'Řekl by: Jdi se svou ženou tam, kde to má nejraději.' No, to bylo snadné. Kurník pro kuřata a husy na konci zahrady, asi 50 metrů od domu, byl místem, které preferovala. Znovu ji vzal za ruku a šel s ní do kurníku. Tam chvíli zůstali a pozorovali kuřata. Nakonec se jeho žena otočila a řekla: 'Horste, jsme doma!'" (Zdroj: Ryke Geerd Hamer, Vermächtnis einer Neuen Medizin, sv. 2, s. 105).
Konstelace SKL proto vytváří nutkání zůstat blízko domova. Účel této potřeby pramení v biologickém konfliktu - vynesení z vodního prostředí a vyplavení na břeh. Instinktivní reakce zůstat na místě (obrazně řečeno "blízko břehu") poskytuje šanci, že vás další vlna vyzvedne a odnese zpět domů, obrazně řečeno. Toto vrozené chování je řízeno dvěma relé sběrných kanálků ledvin a je aktivováno konstelací.
Proto se lidé v konstelaci SKL pohybují pouze v určité vzdálenosti od domova. Čím je konstelace intenzivnější, tím menší je vzdálenost. Silná konstelace může vyvolat strach z opuštění domova, strach z cestování dokonce i na krátké vzdálenosti ("když pomyslím na to, že sednu do auta a někam pojedu, cítím paniku a říkám si, že tam nepojedu, že to je příliš daleko"), nebo strach z veřejné dopravy (přesun z domovské základny). Zde se také setkáváme s agorafobií, což je strach z otevřených prostranství a davů (srovnej s klaustrofobii s Konstelací motorické kůry a sociální fobii s Konstelací autistickou). Strach je v podstatě úzkost, že člověk nebude schopen vrátit se domů (viz také záchvaty úzkosti a záchvaty paniky), což pramení z předchozího Konfliktu opuštění, Konfliktu existenčního nebo Konfliktu uprchlíka, zažívaného jako "uvržení do pustiny".
Speciální biologické programy (SBS) probíhají současně na úrovni orgánů. Při konfliktu "připadat si jako ryba na suchu" se sběrné kanálky ledvin uzavírají prostřednictvím množení buněk, což způsobuje zadržování vody, aby byl organismus zásoben dostatečným množstvím vody. Fyzické i duševní symptomy tedy slouží biologickému účelu. Již dlouho se ví, že osoby s malým výdejem moči jsou také dezorientované. Předpokládá se, že "uremická dezorientace", jak je tento stav nazýván, je výsledkem minimálního vylučování moči. Skutečným důvodem je však Konstelace sběrných kanálků ledvin.
Dr. Hamer: "Oligurie (vylučování moči mezi 150-400 ml denně) a anurie (méně než 50 ml denně) jsou pojmy, které označují nejen fyzickou, ale i psychiatrickou diagnózu." Totéž platí, když je někdo na dialýze kvůli selhání obou ledvin. Dezorientace pozorovaná u dialyzovaných pacientů není, jak se předpokládá, způsobena dehydratací, nedostatkem vitamínu B12 nebo nízkou hladinou cukru v krvi, ale schizofrenní konstelací zahrnující obě relé sběrných kanálků ledvin. Je samozřejmé, že dialyzovaní pacienti často trpí dalšími Konflikty existenčními, což zhoršuje psychické symptomy. POZNÁMKA: Chirurgické odstranění ledviny nebo obou ledvin (bilaterální nefrektomie) neodstraní dezorientaci, protože dezorientace je řízena mozkem!

Laterální oční sval (hladký laterální přímý sval) je zásobován nervem abducens (šestý hlavový nerv), který vzniká v řídicích centrech sběrných kanálků ledvin. V případě Konfliktu opuštění, Konfliktu existenčního nebo Konfliktu uprchlíka vytáhne laterální oční sval oko (oči) směrem ven. Když má konflikt dopad na relé kanálků pravé ledviny, pravé oko se vychýlí doprava; když se to týká relé kanálků levé ledviny, levé oko se vychýlí směrem doleva (srovnej se strabismem, souvisejícím s extraokulárními očními svaly). Při konstelaci SKL se obě oči vychylují do strany, což z biologického hlediska umožňuje jedinci mít oceán, tedy domov, na dohled.
Kromě prostorové dezorientace vytváří Konstelace SKL ztrátu smyslu pro čas, přesněji řečeno ztrátu smyslu pro přítomnost (srovnej se ztrátou krátkodobé paměti, související s Konstelací (post)senzorické kůry). Intenzivní konstelace způsobuje klamné představy o životě v dřívějším období života. Přesně to je však účelem této konstelace. Když se Konflikty opuštění, Konflikty existenční nebo Konflikty uprchlíka stanou emocionálně příliš obtížné, konstelace umožní člověku, aby se uchýlil do emocionálního útočiště, kde se necítí sám.
Zmatek, pocit ztráty v přeneseném slova smyslu, je další známkou Konstelace SKL (viz také Konstelace mozkového kmene). Bylo zjištěno, že lidé, nehledě na věk, jsou zmatení, když jsou hospitalizováni. Někteří dokonce ani nepoznávají členy rodiny, když přijdou na návštěvu. Když k tomu dojde u starších lidí, lékaři to rychle interpretují jako příznak demence. V únoru 2017 vyšel na PravdaTV.com německý článek s názvem "Zu Hause gesund, im Krankenhaus plötzlich dement" [Zdravý doma, dementní v nemocnici]. Autor uvádí: "Tito pacienti netrpí demencí ani zmateností, která se vyvinula kvůli jejich věku. Zmatek je spíše v důsledku pobytu v nemocnici. Protože ve chvíli, kdy jsou zpátky doma, zmatek zmizí." Díky GNM máme nyní v rukou vědu, která vysvětluje tento zdánlivý rozpor.
Tzv. "coma vigil" (agrypnia coma) je způsobeno akutní Konstelací SKL. Coma vigil (tedy bdění v bezvědomí) je polovědomý, přetrvávající vegetativní stav, v němž se pacient jeví jako bdělý s otevřenýma očima a upřeným výrazem. Člověk absolutně nereaguje a není schopen rozpoznat své okolí.
Dezorientace, ztráta smyslu pro čas a zmatenost jsou příznaky takzvané Alzheimerovy choroby (viz také Alzheimerova choroba se ztrátou krátkodobé paměti a demencí, související s Konstelací (post)senzorické kůry). Konvenční medicína předpokládá, že Alzheimerova choroba je buď genetická, způsobená nedostatkem B12, hypotyreózou, systémovými infekcemi nebo v důsledku mrtvice. Výzkum Dr. Hamera ukazuje, že duševní stav, který se projevuje Alzheimerovou chorobou, je výsledkem nepřetržitých Konfliktů opuštění, Konfliktů existenčních nebo Konfliktů uprchlíka. Zvyšující se počet lidí s Alzheimerovou chorobou v dnešní stárnoucí populaci nemá nic společného s vadnými geny, nedostatkem vitamínů a podobně, ale přímo souvisí se společností, kde stále více lidí žije v chudobě (Konflikty existenční), a kde mnoho postarších lidí žije samo nebo v domovech pro seniory (Konflikty opuštění, Konflikty uprchlíka). Ve společnostech, kde jsou starší lidé uctíváni a integrováni do komunity, je "Alzheimerova nemoc" neznámá.
"Být osamělý, když jste starší, zdvojnásobuje riziko Alzheimerovy choroby."
(Archives of General Psychiatry, 2007)

Hromadění (křečkování), nutkání hromadit určité předměty, je také spojeno s Konstelací SKL (srovnej se "syndromem bordeláře", souvisejícím s Konstelací létající). Kvůli neustálým Konfliktům existenčním člověk shromažďuje určité předměty, jako jsou např. zásoby pro domácnost nebo jídlo, v domnění, že by je mohl někdy v budoucnu potřebovat. Se základními Konflikty opuštění mají nashromážděné položky (knihy, časopisy, noviny a podobně) emocionální význam. Obklopen věcmi, které hromadí, se člověk cítí bezpečně a není sám. Co přesně člověk hromadí, ukazuje na původní konflikty.
Toto video ukazuje ženu, která hromadí plyšová zvířata. Povšimněte si jejího chování v čase 0:54-1:36, odhalující zastavení zralosti.
Sběratelská mánie a nutkavé nakupování slouží stejnému účelu. Neodolatelný impuls sbírat určité předměty a hodně nakupovat často pramení z emocionální potřeby, způsobené přetrvávajícím Konfliktem opuštění nebo Konfliktem existenčním (srovnej s návykovým chováním).
Překlad: Jana Schön